Advertisement

Longembolie Ct - STOLLINGWERENDE MEDICIJNEN | Hartwijzer | NVVC / Veel voorkomende klachten bij een.

Longembolie Ct - STOLLINGWERENDE MEDICIJNEN | Hartwijzer | NVVC / Veel voorkomende klachten bij een.. Wat is cteph (chronisch tromboembolische pulmonale hypertensie) en hoe ontstaat het? Het bloedstolsel ontstaat meestal in de bloedvaten van de benen of het bekken. Deze techniek heeft een zeer hoge sensitiviteit en specificiteit voor de diagnose longembolie. De bloedpropjes ontstaan meestal ergens anders, bijvoorbeeld in. Een longembolie is een bloedprop (stolsel) die is vastgelopen in een of meer bloedvaten van de long.

Symptomen bij een longembolie zijn een benauwd gevoel, pijn op de borst tijdens het ademhalen, een verhoogde hartslag en bloed ophoesten. Longembolie wat is een longembolie? Zwangere patiënten met een vermoedelijke longembolie 2. Bij een longembolie wordt een longslagader afgesloten, meestal door een bloedstolsel. Een longembolie kan pijn aan de borstkas en/of bij ademhaling veroorzaken.

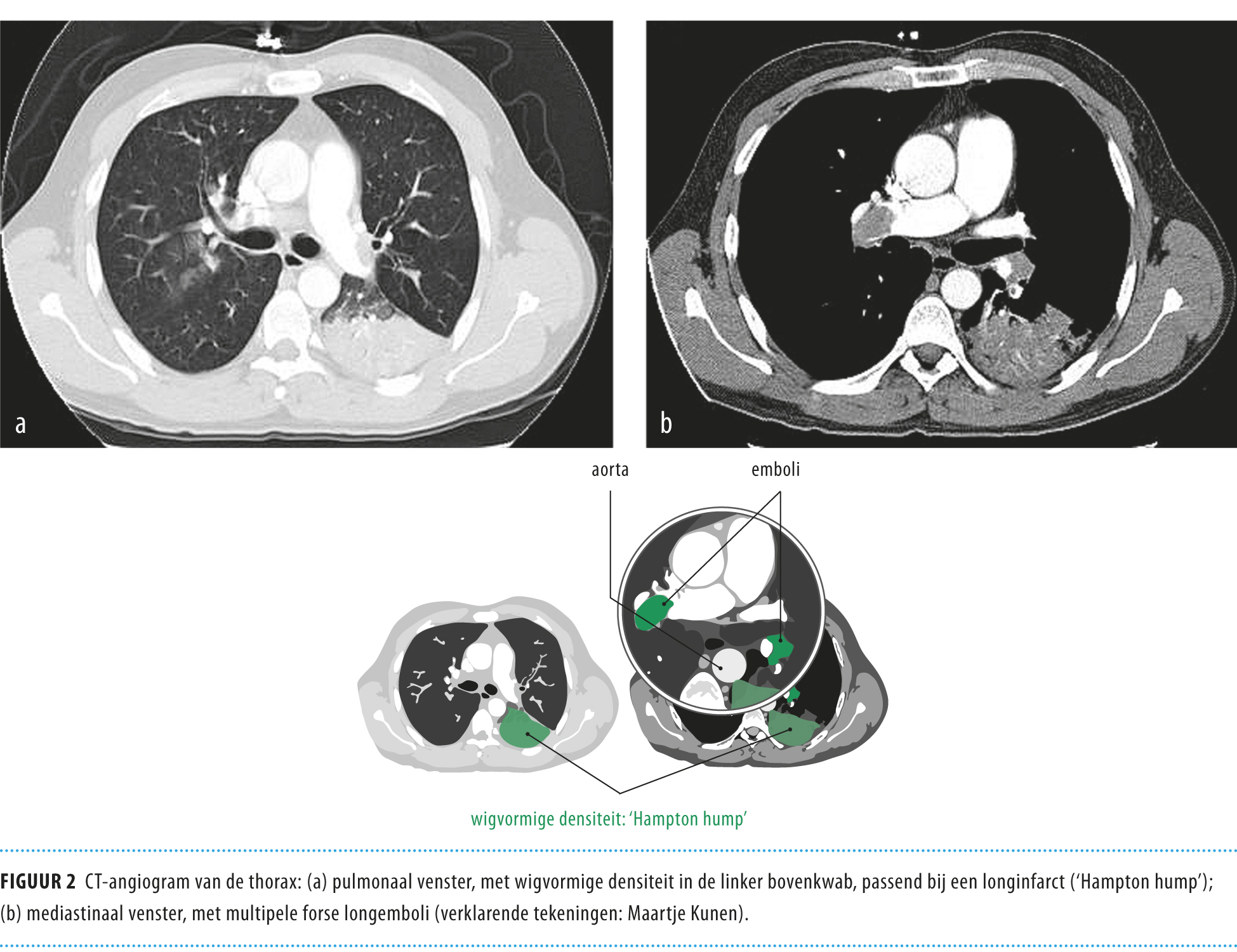
Pulmonary Embolism, CT Scan Giclee Print by Du Cane ...
Pulmonary Embolism, CT Scan Giclee Print by Du Cane ... from imgc.allpostersimages.com
Longembolie hoort daarom altijd in de differentiaaldiagnose te staan bij plotseling ontstane dyspneu, maar ook bij onverklaarde toename van een al langer bestaande dyspneu. Bij een longembolie wordt een longslagader afgesloten, meestal door een bloedstolsel. Een longembolie geeft pijn en hevige kortademigheid. Als dit in de longen gebeurt, spreken we van een longembolie. Dat merk je doordat je kortademig en benauwd wordt. Zwangere patiënten met een vermoedelijke longembolie 2. Veel voorkomende klachten bij een. Bij een longembolie blokkeert een bloedpropje/embolus, de.

Daardoor krijg je minder zuurstof in je bloed.

Een longembolie geeft pijn en hevige kortademigheid. Dat merk je doordat je kortademig en benauwd wordt. Bij een longembolie blokkeert een bloedpropje/embolus, de. Om de bloeddoorstroming van de longen te beoordelen. Longembolie hoort daarom altijd in de differentiaaldiagnose te staan bij plotseling ontstane dyspneu, maar ook bij onverklaarde toename van een al langer bestaande dyspneu. Bij een longembolie wordt een longslagader afgesloten, meestal door een bloedstolsel. Een longembolie is een vervelend en gevaarlijk medisch probleem. Het reist naar een longslagader waar het plotseling de bloedstroom blokkeert. De longslagaderen zijn de bloedvaten die van het hart naar de longen lopen. Dit wordt meestal veroorzaakt door een bloedstolsel (trombus). Deze techniek heeft een zeer hoge sensitiviteit en specificiteit voor de diagnose longembolie. Bij een longembolie blokkeert een bloedstolsel de longslagader, waardoor een gedeelte van de longen geen bloed meer. De ct bevestigt een kleine longembolie.

Bij een longembolie is er sprake van een afsluiting van een slagader in de longen, waardoor het longweefsel in het stroomgebied geen zuurstof meer kan afgeven aan het bloed. Het reist naar een longslagader waar het plotseling de bloedstroom blokkeert. Bij een longembolie blokkeert een bloedstolsel de longslagader, waardoor een gedeelte van de longen geen bloed meer. Veel voorkomende klachten bij een. Dit wordt meestal veroorzaakt door een bloedstolsel (trombus).

Een 80-jarige vrouw met kortademigheid door myxoma cordis ...
Een 80-jarige vrouw met kortademigheid door myxoma cordis ... from www.ntvg.nl
Een longembolie is een acute en levensbedreigende aandoening. Bij een longembolie blokkeert een bloedstolsel de longslagader, waardoor een gedeelte van de longen geen bloed meer. Dit heeft negatieve gevolgen voor de zuurstofopname in de long en veroorzaakt benauwdheidsklachten. Bij een longembolie blokkeert een bloedpropje/embolus, de. Het reist naar een longslagader waar het plotseling de bloedstroom blokkeert. Het bloedstolsel ontstaat meestal in de bloedvaten van de benen of het bekken. Dit wordt meestal veroorzaakt door een bloedstolsel (trombus). Toch is het lang niet altijd duidelijk en voelbaar of iemand.

Deze techniek heeft een zeer hoge sensitiviteit en specificiteit voor de diagnose longembolie.

Dit heeft negatieve gevolgen voor de zuurstofopname in de long en veroorzaakt benauwdheidsklachten. Het bloedstolsel ontstaat meestal in de bloedvaten van de benen of het bekken. Toch is het lang niet altijd duidelijk en voelbaar of iemand. Longembolie wat is een longembolie? Een longembolie is een afsluiting van een of meer longslagaderen door een bloedstolsel. Een longembolie (pe) is een bloedstolsel dat zich ontwikkelt in een bloedvat in het lichaam (vaak in het been). Veel voorkomende klachten bij een. Een embolie is een bloedpropje (stolsel) dat een slagader verstopt. De ct bevestigt een kleine longembolie. Dat merk je doordat je kortademig en benauwd wordt. Om de bloeddoorstroming van de longen te beoordelen. Bij een longembolie wordt een longslagader afgesloten, meestal door een bloedstolsel. Bij een longembolie blokkeert een bloedstolsel de longslagader, waardoor een gedeelte van de longen geen bloed meer.

Een longembolie is een bloedprop (stolsel) die is vastgelopen in een of meer bloedvaten van de long. Een longembolie is een blokkering van één van de arteriën (slagaderen) in de longen, meestal als gevolg van een een longembolie kan zich in het midden van een long bevinden of nabij de rand. Een longembolie geeft pijn en hevige kortademigheid. Om het herstel te bevorderen dient de pijn zo minimaal. Dit heeft negatieve gevolgen voor de zuurstofopname in de long en veroorzaakt benauwdheidsklachten.

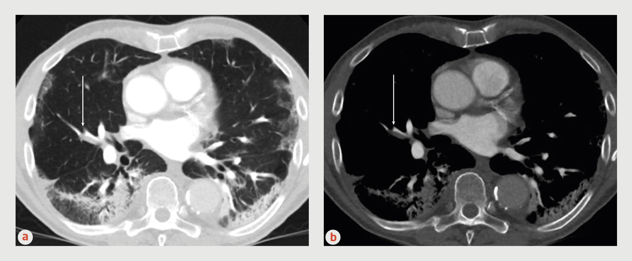
Subtle Pulmonary Embolism Left Upper Lobe - Chest Case ...
Subtle Pulmonary Embolism Left Upper Lobe - Chest Case ... from ctisus.com
Longembolie wat is een longembolie? Deze techniek heeft een zeer hoge sensitiviteit en specificiteit voor de diagnose longembolie. Symptomen bij een longembolie zijn een benauwd gevoel, pijn op de borst tijdens het ademhalen, een verhoogde hartslag en bloed ophoesten. En wat is hierbij de toegevoegde waarde van. Bij een longembolie zit een bloedvat naar een deel van je longen verstopt. Dit heeft negatieve gevolgen voor de zuurstofopname in de long en veroorzaakt benauwdheidsklachten. Een longembolie (pe) is een bloedstolsel dat zich ontwikkelt in een bloedvat in het lichaam (vaak in het been). Dit wordt meestal veroorzaakt door een bloedstolsel (trombus).

Een longembolie kan pijn aan de borstkas en/of bij ademhaling veroorzaken.

Wat is cteph (chronisch tromboembolische pulmonale hypertensie) en hoe ontstaat het? Daardoor krijg je minder zuurstof in je bloed. Dit stolsel kan heel veel of juist heel weinig klachten geven. Dit heeft negatieve gevolgen voor de zuurstofopname in de long en veroorzaakt benauwdheidsklachten. Longembolie hoort daarom altijd in de differentiaaldiagnose te staan bij plotseling ontstane dyspneu, maar ook bij onverklaarde toename van een al langer bestaande dyspneu. Een longembolie is een afsluiting van een longslagader. Het is een bloedprop dat vastloopt in één of meerdere bloedvaten van de long. Symptomen bij een longembolie zijn een benauwd gevoel, pijn op de borst tijdens het ademhalen, een verhoogde hartslag en bloed ophoesten. Een longembolie (pe) is een bloedstolsel dat zich ontwikkelt in een bloedvat in het lichaam (vaak in het been). Toch is het lang niet altijd duidelijk en voelbaar of iemand. De bloedpropjes ontstaan meestal ergens anders, bijvoorbeeld in. Een longembolie is een totale of gedeeltelijke inwendige afsluiting van één of meerdere tak(ken) van de arteria pulmonalis door met de bloedstroom meegevoerd materiaal, meestal een stolsel. Het reist naar een longslagader waar het plotseling de bloedstroom blokkeert.

Een longembolie is een bloedprop (stolsel) die is vastgelopen in een of meer bloedvaten van de long longembolie. Symptomen bij een longembolie zijn een benauwd gevoel, pijn op de borst tijdens het ademhalen, een verhoogde hartslag en bloed ophoesten.

Post a Comment

0 Comments